Life After Braces: Maintaining Results for a Lifetime Smile
Completing orthodontic treatment is an exciting milestone. After months—or even years—of…
About Us
At Hansen Orthodontics, we believe a confident smile has the power to transform everything about how you see yourself, how others see you, and the opportunities that come your way.




Services
Personalized braces, aligners & advanced care for all ages in El Paso


Transforming your smile starts with choosing the right orthodontic solution for your needs.


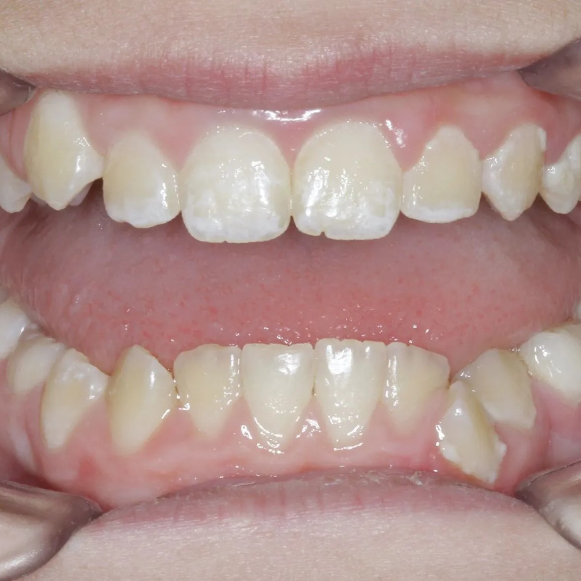
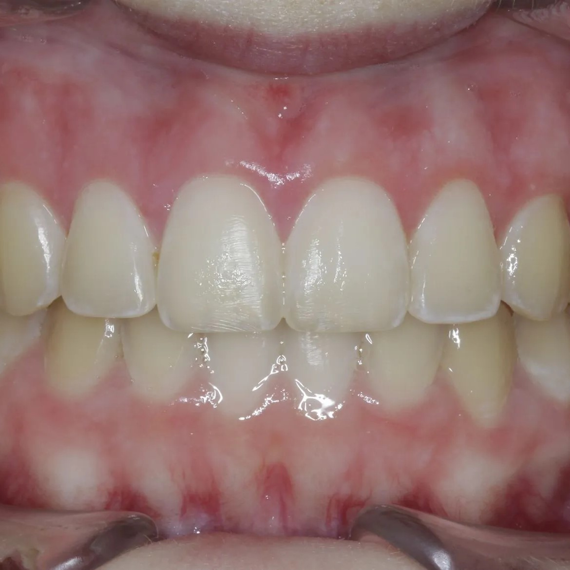
A gummy smile occurs when there is an excess of visible gum tissue while smiling. This can be due to various factors


Tooth contouring effectively corrects various dental imperfections by evening out minor chips



Gingivectomy reshapes your gum line swiftly with minimal discomfort, enhancing your smile’s balance and harmony.



Airway Orthodontics helps improve breathing and overall health through proper jaw and airway alignment.


Improves oral function by addressing restricted tissues that affect speech, feeding, and breathing.



Brightens your smile.
This treatment restores your teeth’s natural radiance with lasting results.
About Us
Confidence is more than a feeling—it’s the spark that shapes how we show up in the world.
At Hansen Orthodontics, we believe every smile carries the power to inspire joy, open new possibilities, and create meaningful connections.
At Hansen Orthodontics, we believe confidence is more than just a feeling—it’s the foundation that empowers people to live fully. A confident smile can open doors, create opportunities, and inspire positivity in every interaction. That’s why our mission goes beyond straightening teeth: we’re here to help you discover a version of yourself that shines with authenticity and strength.
Confidence, when nurtured, becomes a force that changes how you see yourself and how others see you. With every treatment, our goal is to craft smiles that radiate warmth, reflect individuality, and spark lasting self-assurance.
We’ve built a practice where aesthetics, precision, and personal care come together—
so your smile looks beautiful and feels authentically yours.
Maximizing the number of teeth showing when smiling and teeth follow the natural curve of your lower lip.
The microesthetics and details like tooth shape, gum symmetry, and facial profile elevate a smile from good to unforgettable. This treatment creates a natural veneer look.
Treatment of sleep apnea symptoms in both adults and children.
Each patient’s orthodontic treatment is customized to fit their dental structure, lifestyle, and long-term goals.
Testimonials
I high recommend to get you’re beautiful smile rejuvenated at Dr Hansen’s unique and beautiful interior place. Very clean and simple that you feel at ease and guaranteed you are receiving the best treatment. I am highly satisfied with my visit, thank you Dr Hansen.
I absolutely recommend! Staff is very professional and welcoming. They’re very knowledgeable & keep their patients well informed. Dr. Hansen is doing an incredible job! Words cannot express how grateful we are for The Hansen Orthodontics staff. Thank you all so much!
So thankful for Dr Hansen and his team. My son has been through two other orthodontists and his teeth are still not corrected. We are so glad that Dr Hansen explained everything so well and uses the latest and up to date technology to fix our son’s smile and bite. Do not look anywhere else!!!!! Highly recommend this team!
Dr. Hansen and his staff are so wonderful. As a 30 year old getting braces for the first time ever, every single staff member put me at ease (childhood dental trauma!). My initial treatment was fast and the Doc himself is hands on to ensure the patient isn’t in an uncomfortable situation longer than necessary. 100% recommend. I’m so excited to see the results!
Dr. Hansen is an amazing doctor. I really appreciate the time that he takes to explain the procedure to me. He’s patient and helps me to feel comfortable asking questions. He is someone that I would trust working on all my family and friends. Not to mention his office is one of the most beautiful buildings I’ve been in.
As a fellow orthodontist I can’t speak more highly of Dr Hansen and his wife Amy. Dr. Hansen is passionate, honest, and very detail oriented. Dr Hansen has clinical skills and expertise that far surpasses just straightening teeth. He is an incredible orthodontist that you can trust to create your dream smile.
I was referred to Dr. Hansen and it was a great experience. I’m so glad I went. Dr. Hansen took his time and gave my daughter adequate attention. He and staff answered all my questions and gave us very good direction for treatment. Their expertise is unmatched in my experience. I would highly recommend. 10/10.
Dr. Hansen was absolutely fantastic! While traveling from out of town, we had an unexpected orthodontic emergency with my teen, and he went above and beyond to help us. His kindness and professionalism were truly reassuring, and his staff was equally warm and welcoming. The office itself is immaculate and beautifully designed, creating a comfortable atmosphere. I highly recommend Dr. Hansen for exceptional care!
Great Experience!
I’m getting braces in Mexico, but a bracket broke while I was in El Paso. Hansen Orthodontics got me in the next day and fixed it quickly. Super helpful, professional, and kind—highly recommend!
Ethan
Blog News
Completing orthodontic treatment is an exciting milestone. After months—or even years—of…
Choosing the right orthodontic solution is a major decision that impacts…
When people think about orthodontics, they often focus on straight teeth…
FAQs
Local anesthesia is typically used for non-surgical gummy smile treatment. It numbs the treatment area, ensuring the procedure is painless and comfortable. Patients remain awake but will not feel any discomfort during the laser contouring.
The duration of the treatment varies depending on the extent of gum tissue that needs to be contoured. On average, the procedure takes about 1 to 2 hours. This includes preparation, the actual laser treatment, and post-treatment instructions.
Yes, following the treatment, it is advisable to avoid hard, crunchy, or spicy foods for a few days. Soft and cool foods are recommended to minimize irritation to the treated gum area. Proper post-treatment care ensures quicker healing and better results.
Common side effects include mild swelling, redness, and slight discomfort in the treated area. These symptoms usually subside within a few days. Following the aftercare instructions provided by the orthodontist can help minimize these side effects.
While initial improvements can be seen immediately after the procedure, the final results are typically visible after the gums have fully healed. Complete healing usually takes a few weeks. Regular follow-up appointments will help monitor the progress and ensure optimal outcomes.
Lorem ipsum dolor sit amet, consectetur adipiscing elit. Aenean porta rhoncus leo, eget iaculis arcu dapibus vel. Lorem ipsum dolor sit amet, consectetur adipiscing elit. Proin porttitor, erat mollis, magna augue consectetur lorem.